Sturge Weber Syndrome Radiology
Heterochromia is determined by the production delivery and concentration.
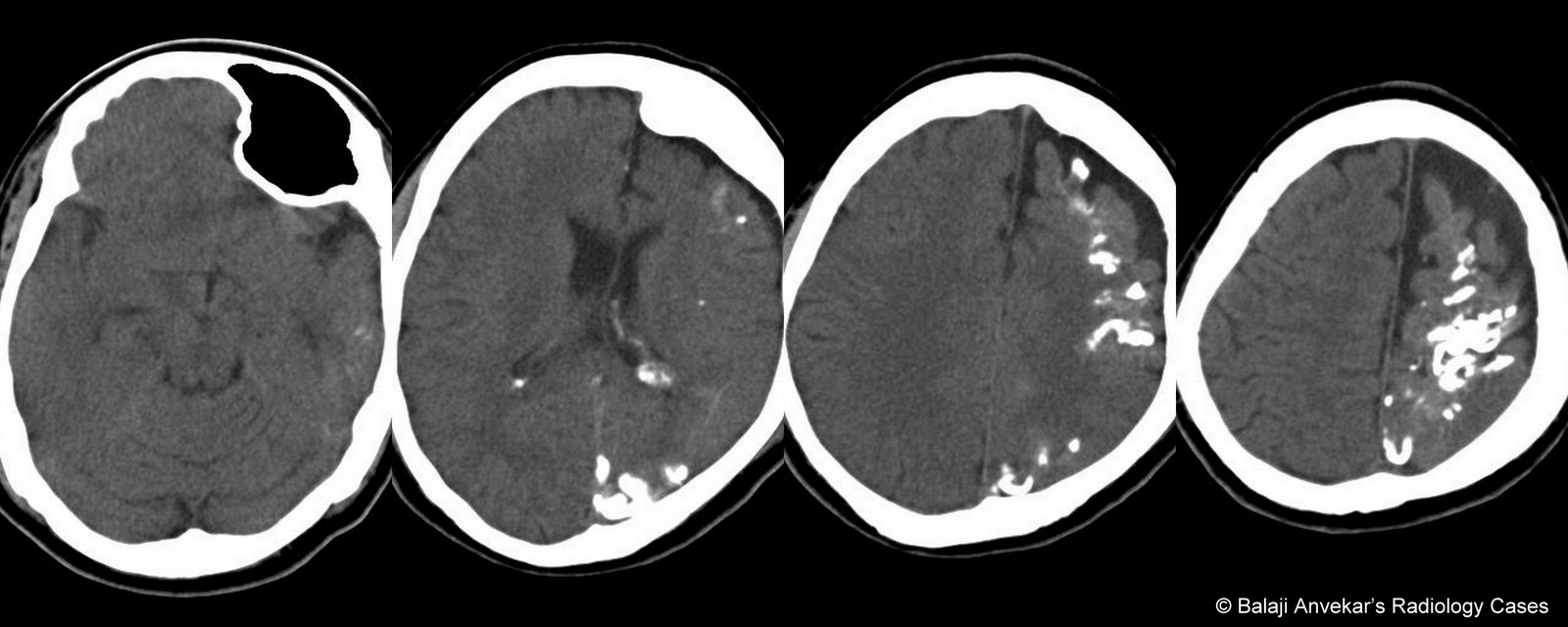
Sturge weber syndrome radiology. Sturge weber syndrome or encephalotrigeminal angiomatosis is a phakomatosis characterized by facial port wine stains and pial angiomas. It is part of a wide. Radiology articles covering imaging techniques findings symptoms diagnosis staging treatment prognosis and follow up. Peer reviewed and up to date.
In basal cell nevus syndrome early dural calcifications are a common manifestation involve the falx the diaphragma sella and the tentorium. Your vascular system is made up of blood vessels that carry blood to and from the heart. Learn about vascular diseases and their treatments. Radiology cases and radiology case reports.
My mum was taking a thyroid supplement while on thyroxine advised by her doctor and it had quite. Heterochromia is a difference in coloration usually of the iris but also of hair or skin.














































